Biology
Textbooks
Boundless Biology
Biological Macromolecules
Proteins
Biology Textbooks Boundless Biology Biological Macromolecules Proteins
Biology Textbooks Boundless Biology Biological Macromolecules
Biology Textbooks Boundless Biology
Biology Textbooks
Biology
Concept Version 14
Created by Boundless

Protein Structure

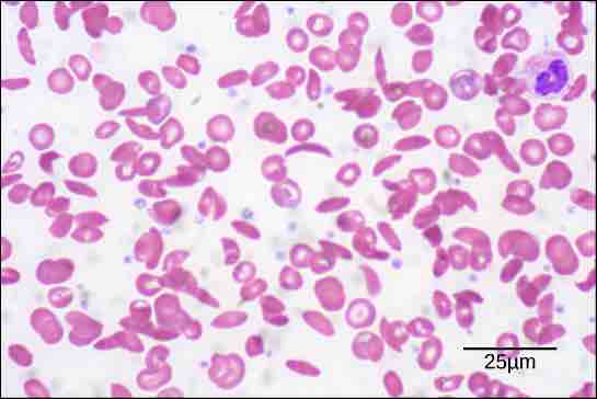
Sickle cell disease

Sickle cell disease

Sickle cells are crescent shaped, while normal cells are disc-shaped.

Source

    Boundless vets and curates high-quality, openly licensed content from around the Internet. This particular resource used the following sources:

    "OpenStax College, Proteins. October 16, 2013."
    http://cnx.org/content/m44402/latest/Figure_03_04_06.jpg OpenStax CNX CC BY 3.0.

Related Terms

  • β-pleated sheet
  • α-helix
  • antiparallel
  • disulfide bond
  • Subjects
    • Accounting
    • Algebra
    • Art History
    • Biology
    • Business
    • Calculus
    • Chemistry
    • Communications
    • Economics
    • Finance
    • Management
    • Marketing
    • Microbiology
    • Physics
    • Physiology
    • Political Science
    • Psychology
    • Sociology
    • Statistics
    • U.S. History
    • World History
    • Writing

    Except where noted, content and user contributions on this site are licensed under CC BY-SA 4.0 with attribution required.