Concept
Version 7
Created by Boundless
Mitochondria

Mitochondrial structure
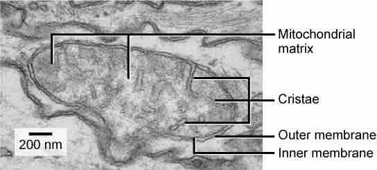
This electron micrograph shows a mitochondrion as viewed with a transmission electron microscope. This organelle has an outer membrane and an inner membrane. The inner membrane contains folds, called cristae, which increase its surface area. The space between the two membranes is called the intermembrane space, and the space inside the inner membrane is called the mitochondrial matrix. ATP synthesis takes place on the inner membrane.
Source
Boundless vets and curates high-quality, openly licensed content from around the Internet. This particular resource used the following sources:
"OpenStax College, Eukaryotic Cells. October 16, 2013."
http://cnx.org/content/m44407/latest/Figure_04_03_07.jpg
OpenStax CNX
CC BY 3.0.