In a healthy individual, a bacteremia (where bacteria get into the blood stream through a minor cut or wound) would normally be cleared quickly with no adverse consequences. If a heart valve is damaged and covered with a piece of blood clot, the valve provides a place for the bacteria to attach themselves and an infection can be established. Endocarditis, or inflammation of the inner tissue of the heart, occurs as a result. The valves of the heart do not receive any dedicated blood supply. As a result, defensive immune mechanisms (such as white blood cells) cannot directly reach the valves via the bloodstream. When bacteria attaches to a valve surface and forms a vegetation, the host immune response is blunted. The lack of blood supply to the valves also has implications for treatment, since drugs also have difficulty reaching the infected valve. Normally, blood flows smoothly through these valves. If they have been damaged - from rheumatic fever, for example - the risk of bacterial attachment is increased.

Endocarditis ultrasound
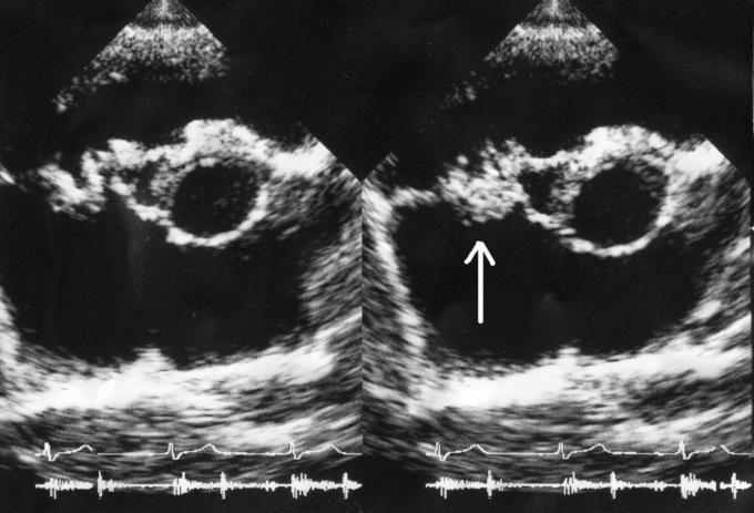
Vegetation on tricuspid valve by echocardiography. Arrow denotes the vegetation.
Bacteremia caused by dental procedures (in most cases due to streptococci viridans, which reside in oral cavity), such as a cleaning or extraction of a tooth and from procedures involving the gastrointestinal or urinary tract can cause bacterial endocarditis. Intravenous drug abuse may also cause bacterial endocarditis from the aseptic introduction of skin bacteria.
Symptoms and signs of endocarditis vary, but prolonged fever (more then 2-3 days) without an obvious cause is a most important sign and should always be investigated in a child with congenital heart disease. Other signs and symptoms include poor appetite, feeling weak or tired, joint pains, skin rashes, and changes in the nature of a previously present heart murmur. The chance that these signs and symptoms are caused by endocarditis is more likely if they occur soon after a dental cleaning or procedure involving the gastrointestinal or urinary tract.
High dose antibiotics are administered by the intravenous route to maximize diffusion of antibiotic molecules into vegetation(s) from the blood filling the chambers of the heart. This is necessary because neither the heart valves nor the vegetations adherent to them are supplied by blood vessels. Antibiotics are continued for a long time, typically two to six weeks depending on the characteristics of the infection and the causative microorganisms.