Concept
Version 10
Created by Boundless
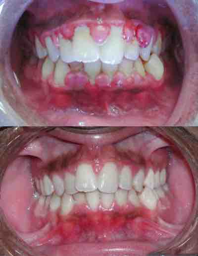
Periodontal Disease
Source
Boundless vets and curates high-quality, openly licensed content from around the Internet. This particular resource used the following sources:
"Gingivitis before and after-2."
http://en.wikipedia.org/wiki/File:Gingivitis_before_and_after-2.jpg
Wikipedia
CC BY-SA.
