Prostatitis is an inflammation of the prostate which can be caused by bacteria. Bacterial infections can cause both acute and chronic prostatitis.
Symptoms and diagnosis
Acute prostatitis is relatively easy to diagnose because it presents the general infection symptoms which may include: fever, chills, groin and lower back pain, issues during urination, and general body aches. The prostate is usually enlarged. Testing of urine samples reveals the presence of bacteria and white blood cells. Blood samples can contain bacteria. White blood cells counts are elevated in the complete blood count.
Chronic prostatitis is a rare condition . It usually causes intermittent urinary tract infections (UTIs) which can lead to cystitis. Sometimes there are no symptoms. The diagnosis is made after culturing urine or prostate liquid. Semen analysis can also be used for diagnosis it. PSA (prostate specific antigen) levels may be elevated.

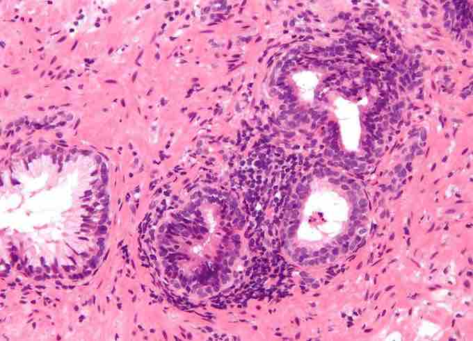
Histologic image of chronic prostatitis
The single gland on the left is healthy, while the glands on the right are inflamed
INFECTIOUS AGENTS
Common bacteria that cause acute prostatitis include gram negative bacteria such as Escherichia coli, Klebsiella, Proteus, Enterobacter, Pseudomonas, as well as gram positive bacteria such as Staphylococcus aureus. E. coli is the major infectious agent that causes chronic prostatitis.
TREATMENT
Acute prostatitis is a serious condition that requires immediate treatment to prevent complications such as sepsis. The antibiotics of choice should be bactericidal (e.g., quinolone) not bacteriostatic (e.g., tetracycline) if the infection is life-threatening. Other commonly used antibiotics are doxycycline and ciprofloxacin. Severe infections may require hospitalization, while milder cases (no sepsis) can be treated with antibiotic administration combined with bed rest at home. The infection is usually cured successfully with antibiotics and the recovery is complete without further complications. Treatment of chronic prostatitis requires courses of antibiotic administration for one to two months or a longer course with low doses. The recurrence of the disease is high. In these cases higher success rates of treatment are achieved when a combination of antibiotics is used. Animal studies have shown that E. coli extract with cranberry can prevent chronic prostatitis. The choice of antibiotic for chronic prostatitis also depends on its ability to penetrate the prostatic capsule. Good penetrators of the barrier are quinolones, doxycycline, macrolides and sulfas (Bactrim). In the case of acute prostatitis, the prostate-blood barrier is damaged by the infection so the penetrating ability of the antibiotic is not as important.