Microbiology
Textbooks
Boundless Microbiology
Diseases
Bacterial Diseases of the Respiratory System
Microbiology Textbooks Boundless Microbiology Diseases Bacterial Diseases of the Respiratory System
Microbiology Textbooks Boundless Microbiology Diseases
Microbiology Textbooks Boundless Microbiology
Microbiology Textbooks
Microbiology
Concept Version 6
Created by Boundless

Bacterial Pneumonias

Bacterial pneumonia

Bacterial pneumonia

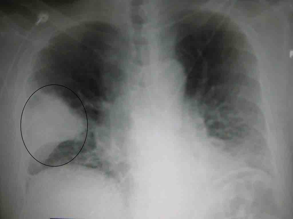
A chest X-ray showing a very prominent wedge-shaped bacterial pneumonia in the right lung.

Source

    Boundless vets and curates high-quality, openly licensed content from around the Internet. This particular resource used the following sources:

    "PneumonisWedge09."
    http://commons.wikimedia.org/wiki/File:PneumonisWedge09.JPG Wikimedia CC BY-SA.

Related Terms

  • pneumonia
  • infection
  • Alveoli
  • Subjects
    • Accounting
    • Algebra
    • Art History
    • Biology
    • Business
    • Calculus
    • Chemistry
    • Communications
    • Economics
    • Finance
    • Management
    • Marketing
    • Microbiology
    • Physics
    • Physiology
    • Political Science
    • Psychology
    • Sociology
    • Statistics
    • U.S. History
    • World History
    • Writing

    Except where noted, content and user contributions on this site are licensed under CC BY-SA 4.0 with attribution required.