Cryptococcosis, or cryptococcal disease, is a potentially fatal fungal disease. It is caused by one of two species: Cryptococcus neoformans and Cryptococcus gattii. These were all previously thought to be subspecies of C. neoformans, but have now been identified as distinct species . Cryptococcosis is believed to be acquired by inhalation of the infectious propagule from the environment. Although the exact nature of the infectious propagule is unknown, the leading hypothesis is the basidiospore created through sexual or asexual reproduction.

Cryptococcus
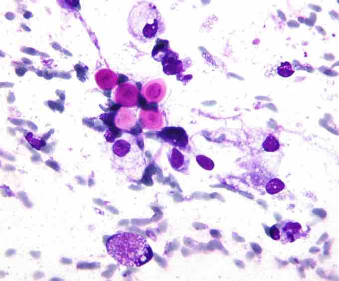
A micrograph of cryptococcus (purple), the fungus that can cause cryptococcosis.
Causes
Cryptococcal meningitis (infection of the meninges, the tissue covering the brain) is believed to result from dissemination of the fungus from either an observed or unappreciated pulmonary infection. Often there is also silent dissemination throughout the brain when meningitis is present. Cryptococcus gattii causes infections in immunocompetent people (those having a functioning immune system), but C. neoformans v. grubii, and v. neoformans usually only cause clinically evident infections in persons who have some form of defect in their immune systems (immunocompromised persons). People who have defects in their cell-mediated immunity; for example, people with AIDS; are especially susceptible to disseminated cryptococcosis. Cryptococcosis is often fatal, even if treated. The ten-week survival averages near 70% with optimal therapy.
Although the most common presentation of cryptococcosis is of C. neoformans infection in an immunocompromised person (such as persons living with AIDS), the C. gattii is being increasingly recognised as a pathogen in presumptively immunocompetent hosts, especially in Canada and Australia. This may be due to rare exposure and high pathogenicity, or to unrecognised isolated defects in immunity, specific for this organism.
Cryptococcosis is a defining opportunistic infection for AIDS. Other conditions which pose an increased risk include certain lymphomas (e.g. Hodgkin's lymphoma), sarcoidosis, liver cirrhosis, and patients on long-term corticosteroid therapy. Distribution is worldwide in soil. The prevalence of cryptococcosis has been increasing over the past 20 years for many reasons, including the increase in incidence of AIDS and the expanded use of immunosuppressive drugs.
Treatment
Treatment options in non-AIDS patients who have reduced immune-system function is not well studied. Intravenous Amphotericin B combined with oral flucytosine may be effective. Every attempt should be made to reduce the amount of immunosuppressive medication until the infection is resolved. Persons living with AIDS often have a greater chance of disease and higher mortality (30-70% at ten-weeks), but recommended therapy is with antifungal agents such as Amphotericin B and flucytosine.
Cryptococcosis in Animals
Cryptococcosis is also seen in cats and occasionally dogs. It is the most common deep fungal disease in cats, usually leading to chronic infection of the nose and sinuses, and skin ulcers. Cats may develop a bump over the bridge of the nose from local tissue inflammation. It can be associated with feline leukemia virus infection in cats. Cryptococcosis is most common in dogs and cats, but cattle, sheep, goats, horses, wild animals and birds can also be infected. Soil, fowl manure, and pigeon droppings are among the sources of infection.