Chemolithotrophy is a type of metabolism where energy is obtained from the oxidation of inorganic compounds. Most chemolithotrophic organisms are also autotrophic. There are two major objectives to chemolithotrophy: the generation of energy (ATP) and the generation of reducing power (NADH).
Hydrogen oxidizing bacteria, or sometimes Knallgas-bacteria, are bacteria that oxidize hydrogen. These bacteria include Hydrogenobacter thermophilus, Hydrogenovibrio marinus, and Helicobacter pylori. There are both Gram positive and Gram negative knallgas bacteria.
Most grow best under microaerophilic conditions. They do this because the hydrogenase enzyme used in hydrogen oxidation is inhibited by the presence of oxygen, but oxygen is still needed as a terminal electron acceptor.
Many organisms are capable of using hydrogen (H2) as a source of energy. While there are several mechanisms of anaerobic hydrogen oxidation (e.g. sulfate reducing- and acetogenic bacteria), hydrogen can also be used as an energy source aerobically. In these organisms, hydrogen is oxidized by a membrane-bound hydrogenase causing proton pumping via electron transfer to various quinones and cytochromes. In many organisms, a second cytoplasmic hydrogenase is used to generate reducing power in the form of NADH, which is subsequently used to fix carbon dioxide via the Calvin cycle. Hydrogen-oxidizing organisms, such as Cupriavidus necator (formerly Ralstonia eutropha), often inhabit oxic-anoxic interfaces in nature to take advantage of the hydrogen produced by anaerobic fermentative organisms while still maintaining a supply of oxygen.
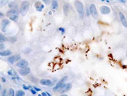
Helicobacter pylori (H. pylori ), previously named Campylobacter pyloridis, is a Gram-negative, microaerophilic bacterium found in the stomach. It was identified in 1982 by Barry Marshall and Robin Warren. They found that it was present in patients with chronic gastritis and gastric ulcers, conditions that were not previously believed to have a microbial cause. It is also linked to the development of duodenal ulcers and stomach cancer. However, over 80 percent of individuals infected with the bacterium are asymptomatic. It has been postulated that it may play an important role in the natural stomach ecology. More than 50% of the world's population harbor H. pylori in their upper gastrointestinal tract. Infection is more prevalent in developing countries and incidence is decreasing in Western countries. H. pylori's helix shape (from which the generic name is derived) is thought to have evolved to penetrate the mucoid lining of the stomach.

Immunohistochemical staining of H. pylori from a gastric biopsy
Colonization with H. pylori is not a disease in and of itself, but a condition associated with a number of disorders of the upper gastrointestinal tract. Testing for H. pylori is recommended if there is peptic ulcer disease, low grade gastric MALT lymphoma, after endoscopic resection of early gastric cancer, if there are first degree relatives with gastric cancer, and in certain cases of dyspepsia, not routinely.