Microbes gain access to human tissues via two main types of routes: mucosal surfaces within the body (linings of the respiratory, digestive, reproductive, or urinary tracts) or epithelial surfaces on the outside of the body (areas of skin that are either undamaged or compromised due to insect bites, cuts/scrapes, or other wounds).
Transmission of Microorganisms
Transmission of microorganisms occurs directly from one person to another by one or more of the following means:
- droplet contact by coughing or sneezing on another person
- direct physical contact by touching an infected person
- direct physical contact (usually by touching soil contamination or a contaminated surface)
- airborne transmission (if the microorganism can remain in the air for long periods)
- fecal-oral transmission (usually from contaminated food or water sources)
- contamination via intravenous drug us
- contamination from blood given via transfusion or organ transplants
Transmission can also be indirect via another organism, either a vector (like a mosquito) or an intermediate host (like how a tapeworm from a pig can be transmitted to humans who ingest improperly cooked pork).
Horizontal or Vertical Transmission
Disease can also be directly transmitted in two ways: horizontally or vertically. Horizontal disease transmission occurs from one individual to another in the same generation (peers in the same age group), and can occur by either direct contact (licking, touching, biting), or indirect contact. Vertical disease transmission involves passing a disease causing agent vertically from parent to offspring.
Pathogens must have a way to be transmitted from one host to another to ensure their species' survival. Infectious agents are generally specialized for a particular method of transmission. Taking an example from the respiratory route, from an evolutionary perspective a virus or bacteria that causes its host to develop coughing and sneezing symptoms has a great survival advantage: it is much more likely to be ejected from one host and carried to another.
A locus is the point on the body where a pathogen enters. In droplet contact and other airborne transmission it is generally the respiratory system through the nose, mouth, or eye surfaces. In direct physical and indirect contact it is generally through a wound in the skin or through a mucous membrane. In fecal-oral transmission, it is through the mouth. In vector-borne transmission, it is at the bite or sting of the vector. Other common indirect routes include contaminated food or water.
Sexual Transmission
In sexual transmission, infection originates directly between surfaces in contact during intercourse (the usual route for bacterial infections and those infections causing sores) or from secretions (semen or the fluid secreted by the excited female). Sexually transmitted diseases such as HIV and Hepatitis B are thought to be transmitted through unprotected sexual intercourse (including anal and oral routes), contaminated blood transfusions, sharing hypodermic needles, and from mother to child during pregnancy, delivery, or breastfeeding. Bodily fluids such as saliva and tears do not transmit HIV. Oral sexual practices have increased the incidence of herpes simplex virus 1 (which is usually responsible for oral infections) in genital infections and the increased incidence of the type 2 virus (more common genitally) in oral infections. Herpes diseases that are transmitted primarily by oral means may be caught through direct contact with an infectious area of the skin.
Direct Contact: Contagious Diseases
Diseases that can be transmitted by direct contact are called contagious (contagious is not the same as infectious). Although all contagious diseases are infectious, not all infectious diseases are contagious. Interestingly, some contagious diseases like tuberculosis were not classically considered to be contagious even though they are transmissible from person to person. Direct transmission can also occur by sharing a towel (where the towel is rubbed vigorously on both bodies) or items of clothing in close contact with the body (socks, for example) if they are not washed thoroughly between uses. Some diseases that are transmissible by direct contact include Athlete's foot and impetigo.

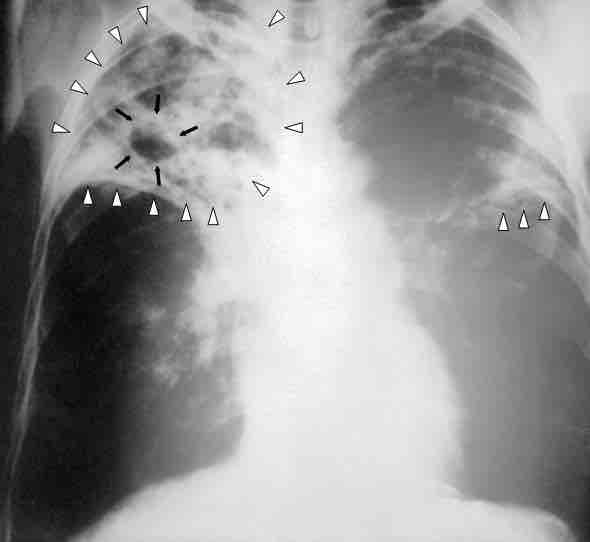
Chest x-ray of a patient with tuberculosis.
In this chest X-ray of a person with advanced tuberculosis, the infections in both lungs are marked by white arrowheads and the formation of a cavity is marked by black arrows. The boundary between contagious and non-contagious infectious diseases is not perfectly drawn, as illustrated by tuberculosis, which is clearly transmissible from person to person, but was not classically considered a contagious disease.