A fungus is a member of a large group of eukaryotic organisms that includes microorganisms such as yeasts and molds. These organisms are classified as kingdom Fungi, separate from plants, animals, and bacteria. Fungi have a worldwide distribution and cangrow in a wide range of habitats, including extreme environments such as deserts or areas with high salt concentrations or ionizing radiation, as well as in deep sea sediments. Most fungi are inconspicuous because of the small size of their structures and their cryptic lifestyles in soil, on dead matter, and as symbionts of plants, animals, or other fungi. Fungi perform an essential role in the decomposition of organic matter and have fundamental roles in nutrient cycling and exchange. Many fungal species produce bioactive compounds called mycotoxins, such as alkaloids and polyketides that are toxic to animals including humans, contributing to pathogenecity and disease.
The study of pathogenic fungi is referred to as a medical mycology. There are various examples of pathogenic fungi including but not limited too: Candida species, Aspergillosis, Cryptococcus, Histoplasma, Pneumocystis and Stachybotrys.
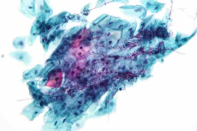
Candida species are commonly known to cause opportunist infections in immunocompromised hosts . The immunocompromised hosts that commonly become infected with Candida include transplant patients, cancer patients and AIDS sufferers. Candida infections are difficult to treat and can result in systemic infections leading to death.

Candida
A Candida infection seen from a pap test specimen.
One of the most commons fungal pathogenic species includes Aspergillus strains, specifically Aspergillus fumigatus and Aspergillus flavus. Aspergillus can cause disease via production of mycotoxins, induction of allergic responses and through localized or systemic infections. Aspergillus flavus specifically produces aflatoxin which is both a toxin and carcinogen whereas Aspergillus fumigatus causes allergic disease. Symptoms of diseases caused by Aspergillus can include fever, cough, chest pain or breathlessness.
Cryptococcus neoformans causes severe forms of meningitis and meningo-encephalitis in patients with HIV infection and AIDS. Cryptococcus species live in the soil and do not cause disease in humans thus, Cryptococcus neoformans is the major pathogen in both human and animals.
Histoplasma capsulatum results in the formation of histoplasmosis in humans, dogs and cats. This specific fungus is endemic in certain areas of the United States and infection is due to inhaling contaminated air.
Pneumocystis jirovecii results in the formation of pneumonia in individuals with weakened immune systems including premature children, the elderly and AIDS patients.
Stachybotrys chartarum, also referred to as black mold, causes respiratory damage and severe headaches. This type of black mold frequently occurs in households that are chronically damp.