Viruses are extremely diverse and have evolved to infect nearly all life forms. Amid this diversity, viruses with similar genome organizations exhibit major conserved themes in their replication strategies. Once inside a cell, all viruses must uncoat, replicate, and transcribe their genomes, and then repackage their genomes into viral progeny that are released from cells. RNA viruses in particular must coordinate the switch between plus and minus strand synthesis and between replication and transcription while protecting their genomes from cellular nucleases. Because of the conserved nature of a virus's intracellular life cycle, fundamental advances in our understanding of replication have come from viruses that infect both animal and non-animal hosts.
The devastating effects of viral diseases such as AIDs, smallpox, polio, influenza, diarrhea, and hepatitis are well known, and studies of viral pathogens are easily justified from a world health perspective. Sobering examples of emerging viral diseases have occurred . Among these are the sudden emergence of the coronavirus that causes severe acute respiratory syndrome (SARS), the continued transmission of an avian influenza virus to humans ("bird flu"), and the isolation of poliovirus vaccine-wild type recombinants that have hampered poliovirus eradication efforts. In addition, the threat of bioterrorism became a reality on U.S. soil, creating an obligation for scientists to respond with aggressive countermeasures. Vaccination remains the preferred strategy for controlling viral diseases because the intimate association of viruses with the host cellular machinery complicates the development of safe drugs. However, certain viruses have proven difficult targets for vaccines, and antiviral drugs provide the only option for controlling disease.

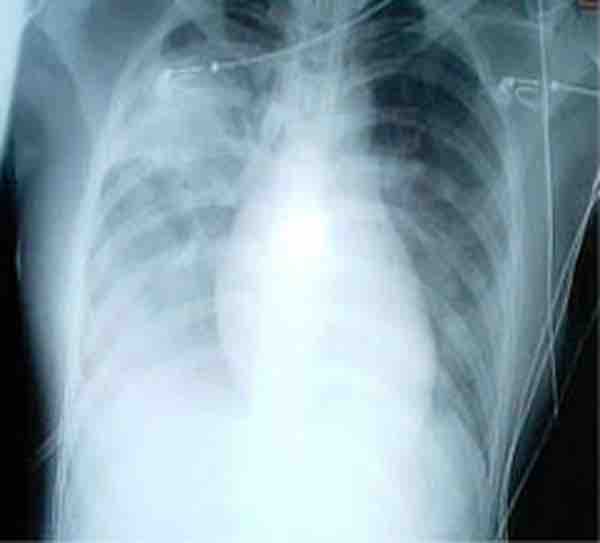
Medical importance of SARS
A chest x-ray showing increased opacity in both lungs, indicative of pneumonia, in a patient with SARS.