Leukemia is a type of cancer of the blood or bone marrow characterized by an abnormal increase in the number of immature white blood cells called "blasts. " Leukemia is a broad term covering a spectrum of diseases. It is part of a broader group of diseases affecting the blood, bone marrow, and lymphoid system, which are all known as hematological neoplasms. In 2000, approximately 256,000 children and adults around the world developed some form of leukemia, and 209,000 died from it. About 90% of all leukemias are diagnosed in adults.
Characterization
Clinically and pathologically, leukemia is subdivided into a variety of large groups. The first division is between its acute and chronic forms. Acute leukemia is characterized by a rapid increase in the number of immature blood cells. Crowding due to such cells makes the bone marrow unable to produce healthy blood cells. Immediate treatment is required in acute leukemia due to the rapid progression and accumulation of the malignant cells, which then spill over into the bloodstream and spread to other organs of the body. Acute forms of leukemia are the most common forms of leukemia in children. Chronic leukemia is characterized by the excessive build up of relatively mature, but still abnormal, white blood cells. Typically taking months or years to mature, the cells are produced at a much higher rate than normal, resulting in many abnormal white blood cells. Whereas acute leukemia must be treated immediately, chronic forms are sometimes monitored for some time before treatment in order to ensure maximum effectiveness of therapy. Chronic leukemia is common in older people, but it can theoretically occur in any age group.
Additionally, the disease is subdivided according to which kind of blood cell is affected. Along these lines, it is divided into lymphoblastic or lymphocytic leukemia, and myeloid or myelogenous leukemia. In lymphoblastic or lymphocytic leukemia, the cancerous change takes place in a type of marrow cell that normally forms lymphocytes, which are infection-fighting immune system cells. In myeloid or myelogenous leukemia, the cancerous change takes place in a type of marrow cell that normally goes on to form red blood cells, some other types of white cells, and platelets.
Causes
Leukemia, like other cancers, results from mutations in the DNA. Certain mutations can trigger leukemia by activating oncogenes or deactivating tumor suppressor genes, thereby disrupting the regulation of cell death, differentiation or division. These mutations may occur spontaneously or as a result of exposure to radiation or carcinogenic substances. Some people have a genetic predisposition towards developing leukemia. In addition to these genetic issues, people with chromosomal abnormalities or certain other genetic conditions have a greater risk of leukemia. For example, people with Down syndrome have a significantly increased risk of developing forms of acute leukemia (especially acute myeloid leukemia), and Fanconi anemia is a risk factor for developing acute myeloid leukemia.
Diagnosis and Treatment
People with leukemia may easily become bruised, bleed excessively, or develop pinprick bleeds (petechiae). White blood cells, which are involved in fighting pathogens, may be suppressed or dysfunctional. This could cause the patient's immune system to be unable to fight off a simple infection or to start attacking other body cells. Because leukemia prevents the immune system from working normally, some patients experience frequent infection, ranging from infected tonsils, sores in the mouth, or diarrhea, to life-threatening pneumonia or opportunistic infections. Finally, the red blood cell deficiency leads to anemia, which may cause dyspnea and pallor. All the symptoms associated with leukemia can be attributed to other diseases. Consequently, leukemia is always diagnosed through medical tests .

Symptoms of Leukemia
Image illustrates the common symptoms of acute or chronic leukemia are shown. Because these can often be attributed to other conditions, a complete blood count and/or bone marrow aspirate are required to successfully diagnose leukemia.
Diagnosis is usually based on repeated complete blood counts and a bone marrow examination following observation of the symptoms. However, in rare cases, blood tests may not show if a patient has leukemia; usually, this may be because the leukemia is in the early stages or has entered remission. A lymph node biopsy can also be performed to diagnose certain types of leukemia in certain situations. Following diagnosis, blood chemistry tests can be used to determine the degree of liver and kidney damage or the effects of chemotherapy on the patient. Many people have not been diagnosed because many of the symptoms remain vague, unspecific, and may refer to other diseases. As a result, the American Cancer Society predicts that at least one-fifth of the population living with leukemia have not yet been diagnosed.
Most forms of leukemia are treated with pharmaceutical medication, typically combined into a multi-drug chemotherapy regimen. Some are also treated with radiation therapy. In some cases, a bone marrow transplant is useful. Treatment using gene therapy is currently being pursued. One such approach turns T cells into cancer-targeting attackers. As of August 2011, a year after treatment, two of the three patients are cancer-free.

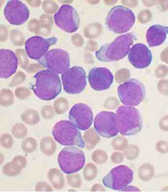
Bone Marrow Aspirate Smear
A Wright's stained bone marrow aspirate smear of patient with precursor B-cell acute lymphoblastic leukemia.