Concept
Version 14
Created by Boundless
Aging and the Cardiovascular System

Reticular Fibers
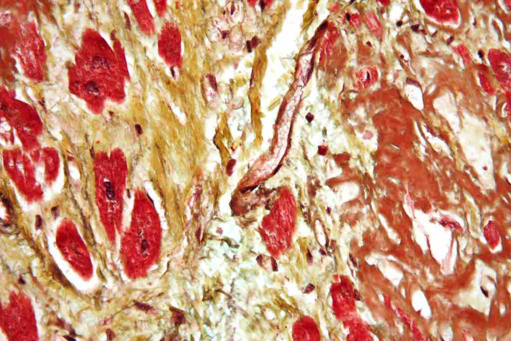
High magnification micrograph of senile cardiac amyloidosis (brown) and fibrosis (yellow). Movat stain (black = nuclei, elastic fibers; yellow = collagen, reticular fibers; blue = ground substance, mucin; bright red = fibrin; red = muscle). Autopsy specimen.
Source
Boundless vets and curates high-quality, openly licensed content from around the Internet. This particular resource used the following sources: