Joints and Aging
Pain in the joints can be caused by a variety of health problems, from arthritis to fibromyalgia. Many temporary conditions, such as a virus or the flu, can also cause joint pain. Joint pain occurs in all ages groups, but beomces more common as a person ages. Aging is a common cause of chronic or persistent joint pain, as wear and tear on the joints from use results in inflammation and osteoarthritis. As people age, they are more prone to injuries that can also cause joint pain.
INFLAMMATION
Inflammation is considered to be one of the most common causes of joint pain. Inflammation results in response to pain, infection, and other threats to the body, and can create wear and tear on the body's joints. As the joints become inflamed, their regeneration and repair process slows, making them weaker. As a person ages, the body's ability to regenerate and repair damage to the joints diminishes, resulting in chronic inflammation.
OSTEOARTHRITIS
Osteoarthritis is the degenerative inflammation of the joints, and is the leading cause of disability in people over the age of 55. Osteoarthritis is typically caused by mechanical stress on the joints, resulting in chronic inflammation leading to the loss of cartilage . Osteoarthritis affects the protective cartilage of the joint, causing it to wear down over time, exposing the bone underneath. The bones of the joint then rub together during movement, causing pain and stiffness. As a result of decreased movement secondary to pain, regional muscles may atrophy, and ligaments may become more lax. Osteoarthritis becomes more common as people age, due to increased mechanical stress on the joints.

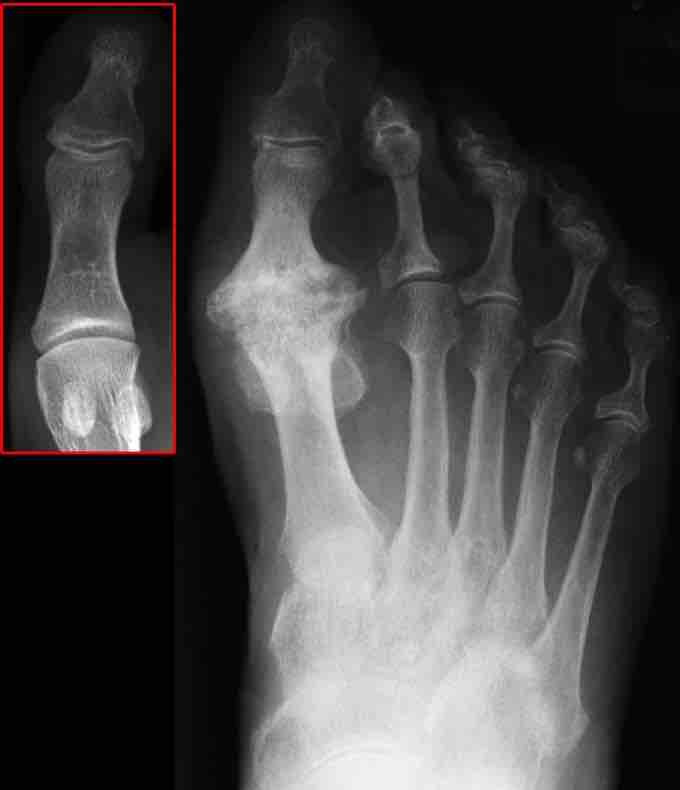
Osteoarthritis
X-ray image of osteoarthritis of the big toe. The red box shows the normal joint.
INJURIES
Injuries are another common cause of joint aches. Sprains, bruising, broken bones, and many other temporary conditions can result in joint pain. Many of these injuries may not be to the joints themselves, but instead to their surrounding cartilage and ligaments. As a person ages, injuries to the joints become more common. Contributing factors include decreased balance and motor control, which can lead to falls, and degeneration of the bone from osteoporosis, which can result in greater damage from small injuries.
TREATMENT
Many different remedies for joint pain are available. Heating pads, braces and physical therapy can fully or partially ease symptoms. Prescription pain medications can also be used to alleviate joint pain. In cases of severe osteoarthritis, surgical joint replacement is often recommended.