Embryogenesis is the process by which the embryo is formed and develops, until it becomes a fetus.
The cells of the inner cell mass (embryoblast), which are known as human embryonic stem cells (hESCs), will differentiate to form four structures: the amnion, the yolk sac, the allantois, and the embryo itself. Human embryonic stem cells are pluripotent; that is, they can differentiate into any of the cell types present in the adult human, and into any of the intermediate progenitor cell types that eventually turn into the adult cell lines. hESCs are also immortal: they can divide and grow in number indefinitely, without undergoing either differentiation or cellular aging (cellular senescence).
The first differentiation of the hESCs that form the embryo proper, is in three cell types known as the germ layers: the ectoderm, the mesoderm, and the endoderm. The ectoderm eventually forms the skin (including hair and nails), mucous membranes, and nervous system. The mesoderm forms the skeleton and muscles, heart and circulatory system, urinary and reproductive systems, and connective tissues inside the body. The endoderm forms the gastrointestinal tract (stomach and intestines), the respiratory tract, and the endocrine system (liver and endocrine glands).
Myogenesis is the formation of muscular tissue, in particular during embryonic development. Muscle fibers form from the fusion of myoblasts into multi-nucleated fibers (called myotubes). In the early development of an embryo, these myoblasts will proliferate if enough fibroblast growth factor (FGF) is present. When the FGF runs out, the myoblasts cease division and secrete fibronectin onto their extracellular matrix. The second stage involves the alignment of the myoblasts into the myotubes. The third stage is the actual cell fusion itself. In this stage, calcium ions are critical for development. Myocyte Enhance Factors (MEFs) promote myogenesis. Serum response factor (SRF) plays a central role during myogenesis, being required for the expression of striated alpha-actin genes. Expression of skeletal alpha-actin is also regulated by the Androgen Receptor. Steroids can, thereby, regulate myogenesis.
A myoblast is a type of embryonic progenitor cell that differentiates to give rise to muscle cells. Skeletal muscle fibers are made when myoblasts fuse together; therefore, muscle fibers have multiple nuclei (each nucleus originating from a single myoblast). The fusion of myoblasts is specific to skeletal muscle (e.g., biceps brachii) and not cardiac or smooth muscle.
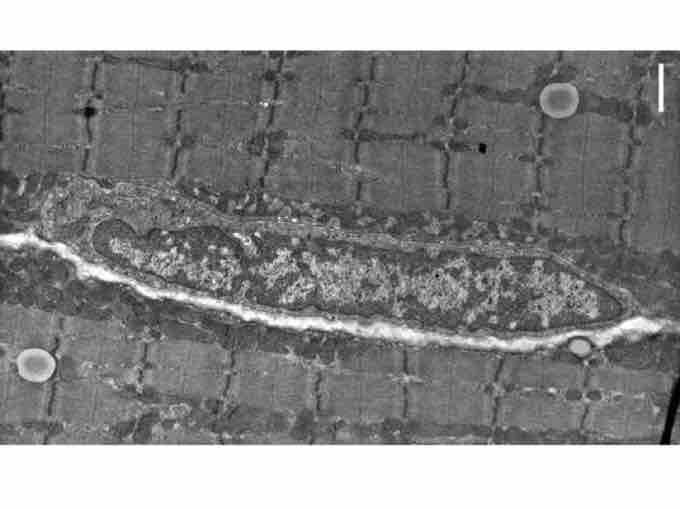
Myoblasts that do not form muscle fibers dedifferentiate back into satellite (myosatellite) cells . These cells remain adjacent to a muscle fiber, situated between the sarcolemma and the endomysium (the connective tissue investment that divides the muscle fascicles into individual fibers). Satellite cells are able to differentiate and fuse to augment existing muscle fibers and to form new ones. In undamaged muscle, the majority of satellite cells are quiescent; they neither differentiate nor undergo cell division. In response to mechanical strain, satellite cells become activated and initially proliferate as skeletal myoblasts before undergoing myogenic differentiation.
A myocyte (also known as a muscle cell or muscle fiber) is the type of cell found in muscle tissue. They are long, tubular cells that arise developmentally from myoblasts to form muscles. There are various specialized forms of myocytes: cardiac, skeletal, and smooth muscle cells, with various properties. Cardiac myocytes are responsible for generating the electrical impulses that control the heart rate, among other things.

Skeletal Satellite Muscle Cell
Satellite cells are located between the basement membrane and sarcolemma (cell membrane) of individual muscle fibers. They are able to differentiate and fuse to augment existing muscle fibers and to form new ones. These cells represent the oldest known adult stem cell niche, and are involved in the normal growth of muscle, as well as regeneration following injury or disease.

Mesoderm
The embryonic layer from which muscle tissues develop.