Concept
Version 10
Created by Boundless
Clot Retraction and Repair

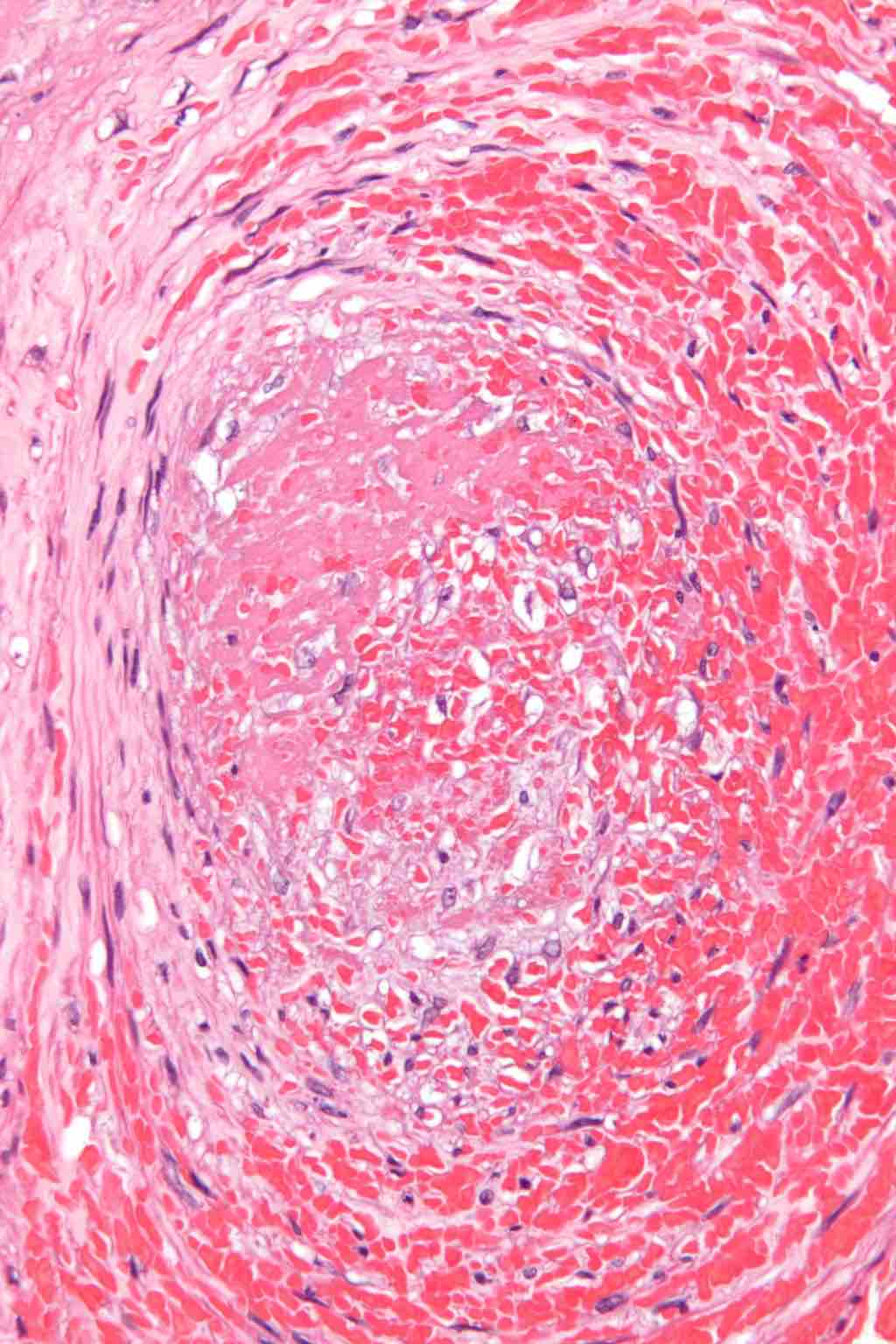
Thrombus or Blood Clot
Micrograph showing a thrombus (center of image) within a blood vessel of the placenta.
Source
Boundless vets and curates high-quality, openly licensed content from around the Internet. This particular resource used the following sources:
"Fetal thrombotic vasculopathy - very high mag."
http://en.wikipedia.org/wiki/File:Fetal_thrombotic_vasculopathy_-_very_high_mag.jpg
Wikipedia
CC BY-SA.