The Liver
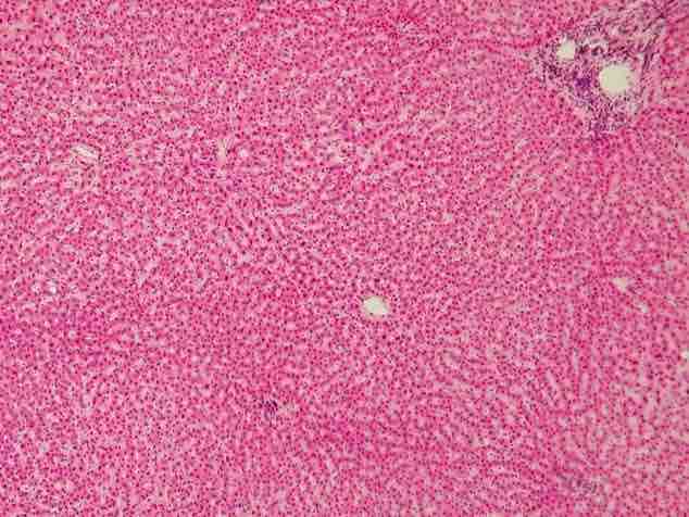
A hepatocyte is the main tissue cell of the liver and makes up 70–80% of the liver's cytoplasmic mass. Hepatocytes contain large amounts of rough endoplasmic reticulum and free ribosomes. Hepatocytes are involved in:
- Protein synthesis.
- Protein storage.
- The transformation of carbohydrates.
- The synthesis of cholesterol, bile salts, and phospholipids.
- The detoxification, modification, and excretion of exogenous and endogenous substances.
Hepatocytes also initiate the formation and secretion of bile. Hepatocytes are organized into plates separated by vascular channels (sinusoids) for blood vessels. The hepatocyte plates are one cell thick in mammals.

Hepatocytes
A cross-section of a human liver that shows hepatocytes.
Hepatocytes are unique in that they are one of the few types of cell in the human body that are capable of regeneration. Hepatocytes are derived from hepatoblasts, the precursor stem cell of the liver that divides to produce new hepatocytes. The liver is capable of complete regeneration from as little as 25% of the original organ.