The small intestine has four tissue layers: the serosa, muscularis, submucosa, and mucosa.
The outermost layer of the intestine, the serosa, is a smooth membrane consisting of a thin layer of cells, which secrete serous fluid, and a thin layer of connective tissue. Serous fluid is a lubricating fluid which reduces friction from the movement of the muscularis.
The muscularis is a region of muscle adjacent to the submucosa membrane. It is responsible for gut movement, or peristalsis. It usually has two distinct layers of smooth muscle: circular and longitudinal.
The submucosa is the layer of dense irregular connective tissue or loose connective tissue that supports the mucosa, as well as joins the mucosa to the bulk of underlying smooth muscle.
The mucosa is the innermost tissue layer of the small intestines, and is a mucous membrane that secretes digestive enzymes and hormones. The intestinal villi are part of the mucosa.
The three sections of the small intestine look similar to each other at a microscopic level, but there are some important differences. The jejunum and ileum do not have Brunner's glands in the submucosa, while the ileum has Peyer's patches in the mucosa, but the duodenum and jejunum do not.
Brunner's glands (or duodenal glands) are compound tubular submucosal glands found in the duodenum . The main function of these glands is to produce a mucus-rich alkaline secretion (containing bicarbonate) in order to neutralize the acidic content of chyme (which is introduced into the duodenum from the stomach), provide an alkaline condition for optimal intestinal enzyme activity, thus enabling absorption to take place, and lubricate the intestinal walls.

Section of Duodenum
Image shows the layers of the duodenum.
Peyer's patches are organized lymph nodules. They are aggregations of lymphoid tissue that are found in the lowest portion of the small intestine, which differentiate the ileum from the duodenum and jejunum.
Because the lumen of the gastrointestinal tract is exposed to the external environment, much of it is populated with potentially pathogenic microorganisms. Peyer's patches function as the immune surveillance system of the intestinal lumen and facilitating the generation of the immune response within the mucosa.
Intestinal villi (singular: villus) are tiny, finger-like projections that protrude from the epithelial lining of the mucosa . Each villus is approximately 0.5-1.6 mm in length and has many microvilli (singular: microvillus), each of which are much smaller than a single villus.

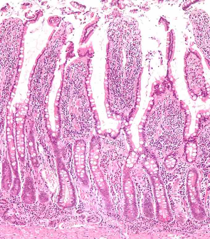
Micrograph of Small Intestine
Low magnification micrograph of small intestinal mucosa showing villi.
Villi increase the internal surface area of the intestinal walls. Increased surface area allows for increased intestinal wall area that is available for absorption. Increased absorptive area is useful because digested nutrients (including sugars and amino acids) pass into the villi, which is semi-permeable, through diffusion, which is effective only at short distances. In other words, increased surface area (in contact with the fluid in the lumen) decreases the average distance traveled by nutrient molecules, so the effectiveness of diffusion increases. The villi are connected to blood vessels that carry the nutrients away in the circulating blood.