Concept
Version 12
Created by Boundless
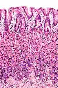
Microscopic Anatomy of the Stomach

The stomach wall
A micrograph that shows a cross section of the stomach wall, in the body portion of the stomach.
This is a micrograph that shows a cross section of the stomach wall, in the body portion of the stomach.
Source
Boundless vets and curates high-quality, openly licensed content from around the Internet. This particular resource used the following sources: