During exercise, the human body needs a greater amount of oxygen to meet the increased metabolic demands of the muscle tissues. Various short-term respiratory changes must occur in order for those metabolic demands to be reached. Eventually exercise can induce long term cardiovascular and respiratory changes, which can be both healthy and unhealthy.
Short-Term Changes
During exercise, carbon dioxide levels (the metabolic waste) rise in arterial blood. Carbon dioxide induces vasodilation in the arteries while the heart rate increases, which leads to better blood flow and tissue perfusion, and better oxygen delivery to the tissues.
In particular, the blood flow to the brain and heart is increased, while increased blood flow to the muscles makes exercise easier. Additionally, the respiratory rate increases as a result of higher carbon dioxide levels (through chemoreceptor regulation), which allows the body to release more carbon dioxide while increasing oxygen intake.
If exercise is too intense for oxygen demands to be satisfied in the short term, anaerobic respiration will be used to make up for the ATP deficit in the muscles. This can cause a buildup of lactic acid in the muscles, which is the byproduct of lactic acid fermentation (the most common anaerobic respiration process in the human body).
This is one reason why muscles may become sore during exercise, though the lactic acid is eventually removed through conversion to glucose in the liver.
Beneficial Long-Term Changes
In the long run, exercise results in increased levels of arterial oxygen levels at rest, due to chemoreceptor desensitization to carbon dioxide levels and a lack of oxygen supply relative to oxygen demands during exercise. Over time, the elevated respiratory rate past what is needed to restore normal blood pH levels following exercise causes a long-term increase in arterial oxygen levels.
Increased oxygen levels in the body are especially important to the long-term health of the brain and heart, two organs that are vital to sustain life and that require large amounts of oxygen to function well. Brain plasticity and cognition also improves as a result.
Exercise also has beneficial effects for reducing stress responses in the body due to increased endorphin production in the brain from exercise. In long-term exercise of appropriate intensity, the volume and strength of the heart are improved, which makes additional exercise easier.
Adverse Long-Term Changes
When exercise is performed at too intense levels for too long or without adequate rest, it can cause long term, adverse health effects. Muscle tissue repair is impaired in those that exercise too frequently. Exercise induced asthma is another common complication from too much exercise.
Normally asthma is caused by an allergic response within the lungs, but exercise can induce a similar response from too much intake of dry and cold air during the increased respiratory rate from exercise. It is most common in those that do more cardiac-oriented exercise.
The air in the lungs is meant to be moistened and humidified before entering the lungs, but if it is not adequately treated in the upper airways, it can induce bronchospams in the brionchioles, which cause the wheezing and coughing that occurs during an asthma attacks. Asthma treatments (such as medicines from an inhaler) can help prevent exercise-induced asthma, though it is only a particular risk in those who already have allergic asthma, or who simply exercise at too much intensity for what their body is capable of handling.
Sudden cardiac death is notable for occurring in otherwise healthy and young athletes who train too much for long-distance running. While many factors that can lead to sudden cardiac death in athletes are genetic (such as inherited problems with heart rhythm or coronary artery blood supply), many of these deaths are caused by cardiac hypertrophy, in which the heart becomes too thick from damage and scarring from too-intense exercise over long periods of time.
Initially, hypertrophy improves blood flow due to increases in the strength of the heart, but it eventually leads to heart failure as the tissues become too thick to pump normally.
Athletes with genetic susceptibilities are more likely to experience sudden cardiac death as a response to their hypertrophied heart, which can contribute to development of a severe arrhythmia (such as ventricular fibrillation). Exercising at appropriate intensities significantly reduces the risk of sudden cardiac death, though those with genetic susceptibilities should take more caution.

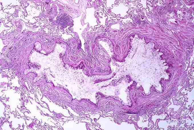
Asthma
Obstruction of the lumen of the bronchiole by mucoid exudate, goblet cell metaplasia, epithelial basement membrane thickening, and severe inflammation of bronchiole.