A portacaval shunt is a treatment for high blood pressure in the liver. A connection is made between the portal vein, which supplies 75% of the liver's blood, and the inferior vena cava, the vein that drains blood from the lower two-thirds of the body. The most common causes of liver disease resulting in portal hypertension are cirrhosis , caused by alcohol abuse, and viral hepatitis (hepatitis B and C). Less common causes include diseases such as hemochromatosis, primary biliary cirrhosis (PBC), and portal vein thrombosis. The procedure is long and hazardous .

The Portacaval Shunt
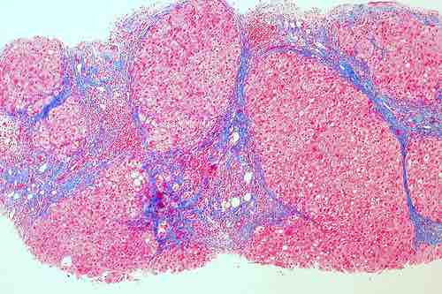
This image is a trichrome stain showing cirrhosis of the liver. Cirrhosis can be combatted by the portacaval shunt procedure, for which there have been numerous experimental trials using randomized assignment.
Numerous studies have been conducted to examine the value of and potential concerns with the surgery. Of these studies, 63% were conducted without controls, 29% were conducted with non-randomized controls, and 8% were conducted with randomized controls.
Randomized Controlled Experiments
Random assignment, or random placement, is an experimental technique for assigning subjects to different treatments (or no treatment). The thinking behind random assignment is that by randomizing treatment assignments, the group attributes for the different treatments will be roughly equivalent; therefore, any effect observed between treatment groups can be linked to the treatment effect and cannot be considered a characteristic of the individuals in the group.
In experimental design, random assignment of participants in experiments or treatment and control groups help to ensure that any differences between and within the groups are not systematic at the outset of the experiment. Random assignment does not guarantee that the groups are "matched" or equivalent, only that any differences are due to chance.
The steps to random assignment include:
- Begin with a collection of subjects - for example, 20 people.
- Devise a method of randomization that is purely mechanical (e.g. flip a coin).
- Assign subjects with "heads" to one group, the control group; assign subjects with "tails" to the other group, the experimental group.
Because most basic statistical tests require the hypothesis of an independent randomly sampled population, random assignment is the desired assignment method. It provides control for all attributes of the members of the samples—in contrast to matching on only one or more variables—and provides the mathematical basis for estimating the likelihood of group equivalence for characteristics one is interested in. This applies both for pre-treatment checks on equivalence and the evaluation of post treatment results using inferential statistics. More advanced statistical modeling can be used to adapt the inference to the sampling method.