Medical Encyclopedia

Medical Encyclopedia

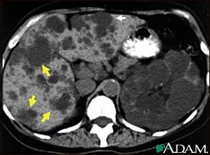
Kidney and liver cysts - CT scan

Kidney and liver cysts - CT scan

This abdominal CT scan shows cysts in the liver and kidneys (polycystic disease). The liver is the large organ on the left side of the screen. The dark spots in the liver are cysts.

Update Date: 8/14/2007

Updated by: Charles Silberberg, DO, Private Practice specializing in Nephrology, Affiliated with New York Medical College, Division of Nephrology, Valhalla, NY. Review provided by VeriMed Healthcare Network.

A.D.A.M. Logo

The information provided herein should not be used during any medical emergency or for the diagnosis or treatment of any medical condition. A licensed physician should be consulted for diagnosis and treatment of any and all medical conditions. Call 911 for all medical emergencies. Links to other sites are provided for information only -- they do not constitute endorsements of those other sites. Copyright 1997-2009, A.D.A.M., Inc. Any duplication or distribution of the information contained herein is strictly prohibited.