![]() | ![]() | ![]() |
| | ||
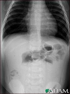
Intussusception - X-ray

This abdominal x-ray shows an intestinal condition in which a loop of bowel has slipped into another section of bowel (intussusception), causing swelling, reduced blood flow, obstruction, and tissue damage. Intussusception requires emergency treatment (barium enema or surgery) to prevent intestinal tissue death (necrosis), intestinal perforation, peritonitis, and death.
Update Date: 7/23/2008 Updated by: Jacob L. Heller, MD, Emergency Medicine, Virginia Mason Medical Center, Seattle, Washington, Clinic. Also reviewed by David Zieve, MD, MHA, Medical Director, A.D.A.M., Inc.
