Medical Encyclopedia
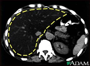
Liver fattening, CT scan
A CT scan of the upper abdomen showing a fatty liver (steatosis of the liver). Note the liver enlargement and dark color compared with the spleen (gray body in lower right).
Update Date: 7/27/2008
Updated by: Jennifer K. Mannheim, CRNP, private practice, Seattle, Washington. Also reviewed by David Zieve, MD, MHA, Medical Director, A.D.A.M., Inc.
The information provided herein should not be used during any medical emergency or for the diagnosis or treatment of any medical condition. A licensed physician should be consulted for diagnosis and treatment of any and all medical conditions. Call 911 for all medical emergencies. Links to other sites are provided for information only -- they do not constitute endorsements of those other sites. Copyright 1997-2009, A.D.A.M., Inc. Any duplication or distribution of the information contained herein is strictly prohibited.