Medical Encyclopedia
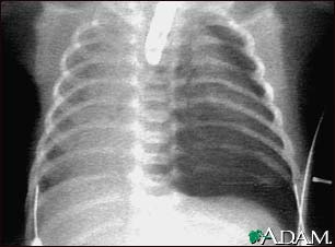
Pneumothorax - chest X-ray
Pneumothorax occurs when air leaks from inside of the lung to the space between the lung and the chest wall. The lung then collapses. The dark side of the chest (right side of the picture) is filled with air that is outside of the lung tissue.
Update Date: 11/12/2007
Updated by: Andrew Schriber, M.D., F.C.C.P., Specialist in Pulmonary, Critical Care, and Sleep Medicine, Virtua Memorial Hospital, Mount Holly, New Jersey. Review provided by VeriMed Healthcare Network.
The information provided herein should not be used during any medical emergency or for the diagnosis or treatment of any medical condition. A licensed physician should be consulted for diagnosis and treatment of any and all medical conditions. Call 911 for all medical emergencies. Links to other sites are provided for information only -- they do not constitute endorsements of those other sites. Copyright 1997-2009, A.D.A.M., Inc. Any duplication or distribution of the information contained herein is strictly prohibited.