Medical Encyclopedia
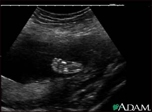
Ultrasound, normal fetus - foot
This is a normal ultrasound of a fetus at 19 weeks gestation. The right foot, including the developing bones, are clearly visible in the middle of the screen.
Update Date: 2/5/2008
Updated by: Peter Chen, MD, Department of Obstetrics & Gynecology, University of Pennsylvania Medical Center, Philadelphia, PA. Review provided by VeriMed Healthcare Network. Also reviewed by David Zieve, MD, MHA, Medical Director, A.D.A.M., Inc.
The information provided herein should not be used during any medical emergency or for the diagnosis or treatment of any medical condition. A licensed physician should be consulted for diagnosis and treatment of any and all medical conditions. Call 911 for all medical emergencies. Links to other sites are provided for information only -- they do not constitute endorsements of those other sites. Copyright 1997-2009, A.D.A.M., Inc. Any duplication or distribution of the information contained herein is strictly prohibited.