Medical Encyclopedia

Medical Encyclopedia

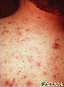
Acne, vulgaris on the back

Acne, vulgaris on the back

Acne frequently occurs on the back. Here, there are 2 to 6 millimeter wide erythematous (red) pustules with large open and closed comedones. Permanent scarring may follow a severe case of acne. Men are more often affected on their shoulders and back than are women.

Update Date: 4/14/2008

Updated by: Michael Lehrer, M.D., Department of Dermatology, University of Pennsylvania Medical Center, Philadelphia, PA. Also reviewed by David Zieve, MD, MHA, Medical Director, A.D.A.M., Inc.

A.D.A.M. Logo

The information provided herein should not be used during any medical emergency or for the diagnosis or treatment of any medical condition. A licensed physician should be consulted for diagnosis and treatment of any and all medical conditions. Call 911 for all medical emergencies. Links to other sites are provided for information only -- they do not constitute endorsements of those other sites. Copyright 1997-2009, A.D.A.M., Inc. Any duplication or distribution of the information contained herein is strictly prohibited.