Concept
Version 8
Created by Boundless
Histoplasmosis

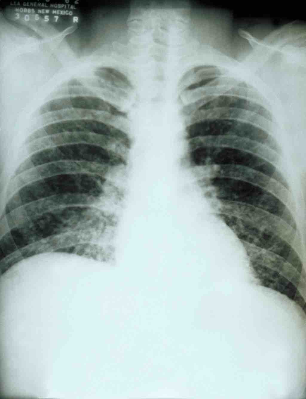
Acute pulmonary histoplasmosis
This is a chest X-ray of a patient with acute pulmonary histoplasmosis.
Source
Boundless vets and curates high-quality, openly licensed content from around the Internet. This particular resource used the following sources:
"Chest%20X-ray%20acute%20pulmonary%20histoplasmosis%20PHIL%203954."
http://en.wikipedia.org/wiki/File:Chest_X-ray_acute_pulmonary_histoplasmosis_PHIL_3954.jpg
Wikipedia
Public domain.