Histoplasmosis (also known as "Cave disease," "Darling's disease," "Ohio valley disease," "Reticuloendotheliosis," "Spelunker's Lung," and "Caver's disease") is a disease caused by the fungus Histoplasma capsulatum. Symptoms of this infection vary greatly, but the disease primarily affects the lungs. Other organs are occasionally affected; this is called disseminated histoplasmosis and can be fatal if left untreated. Histoplasmosis is common among AIDS patients due to their suppressed immune system.

Histoplasmosis
This is a Methenamine silver strain of Histoplasma capsulatum that shows histopathologic changes in the histoplasmosis.
If symptoms of histoplasmosis infection occur, they will start within 3 to 17 days after exposure, with the average being 12 to 14 days. Most affected individuals have clinically silent manifestations and show no apparent ill effects. The acute phase of histoplasmosis is characterized by non-specific respiratory symptoms, often cough or flu-like. Chest X-ray findings are normal in 40 to 70% of cases. Chronic histoplasmosis cases can resemble tuberculosis, and disseminated histoplasmosis affects multiple organ systems and is fatal unless treated.

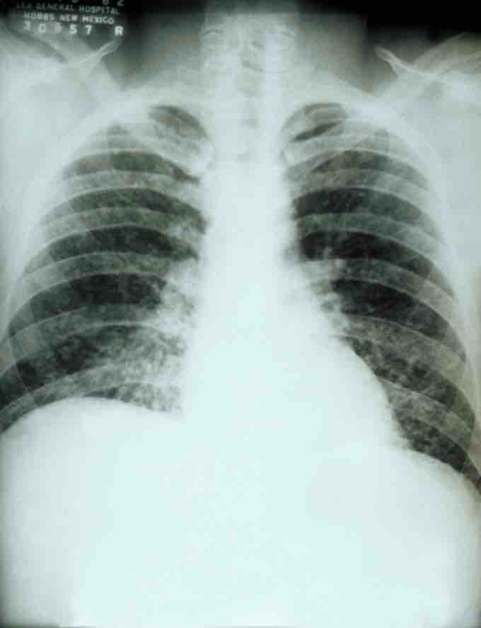
Acute pulmonary histoplasmosis
This is a chest X-ray of a patient with acute pulmonary histoplasmosis.
Histoplasmosis may be divided into the following types: primary pulmonary histoplasmosis, progressive disseminated histoplasmosis, primary cutaneous histoplasmosis, and African histoplasmosis.
Histoplasma capsulatum is found throughout the world. It is endemic in certain areas of the United States, particularly in states bordering the Ohio River valley and the lower Mississippi River. It is also common in caves in southern and East Africa. Positive histoplasmin skin tests occur in as many as 90% of the people living in areas where Histoplasma capsulatum is common, such as the eastern and central United States.
Histoplasma capsulatum grows in soil and material contaminated with bird or bat droppings (guano). The fungus has been found in poultry house litter, caves, areas harboring bats, and in bird roosts (particularly those of starlings). The fungus is thermally dimorphic: in the environment it grows as a brownish mycelium, and at body temperature (37 °C in humans) it morphs into a yeast. The inoculum is represented principally by microconidia that, once inhaled into the alveolar spaces, germinate and then transform into budding yeast cells. Histoplasmosis is not contagious, but is contracted by inhalation of the spores from disturbed soil or guano.
Histoplasmosis can be diagnosed by samples containing the fungusken from sputum, blood, or infected organs. It can also be diagnosed by detection of antigens in blood or urine samples by ELISA or PCR. It can also be diagnosed by a test for antibodies against Histoplasma in the blood. Histoplasma skin tests indicate whether a person has been exposed, but do not indicate whether they have the disease. Formal histoplasmosis diagnoses are often confirmed only by culturing the fungus directly. Cutaneous manifestations of disseminated disease are diverse and often present as a nondescript rash with systemic complaints. Diagnosis is best established by urine antigen testing. Blood cultures may take up to 6 weeks for diagnostic growth to occur and serum antigen testing often comes back with a false negative before 4 weeks of disseminated infection.
It is not practical to test or decontaminate most sites that may be contaminated with Histoplasma capsulatum, so precautions to reduce a person's risk of exposure are important. Precautions common to all geographical locations would be to avoid accumulations of bird or bat droppings.
Antifungal medications are used to treat severe cases of acute histoplasmosis and all cases of chronic and disseminated disease. Typical treatment of severe disease first involves treatment with amphotericin B, followed by oral itraconazole. Treatment with itraconazole will need to continue for at least a year in severe cases.
In many milder cases, oral itraconazole or ketoconazole is sufficient. Asymptomatic disease is typically not treated. Past infection results in partial protection against ill effects if reinfected.