Concept
Version 10
Created by Boundless
Liver Function

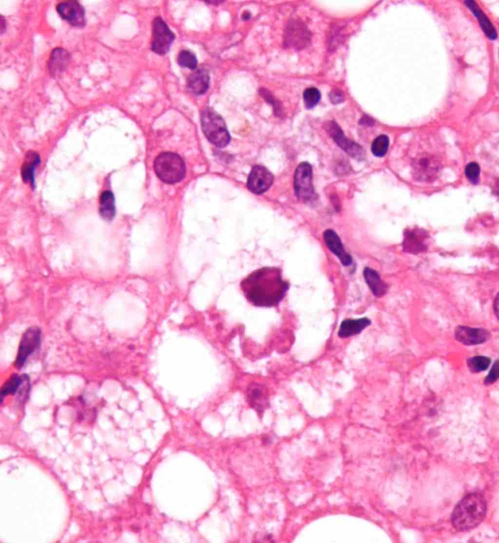
Liver tissue of an alcoholic
A healthy liver can break down alcohol. However, the overstressed liver of an alcoholic may become clogged with fats that adversely affect liver function. This type of tissue is most common in alcoholic hepatitis (a prevalence of 65%) and alcoholic cirrhosis (a prevalence of 51%).
This is a micrograph of an overstressed liver from an alcoholic. A healthy liver can break down alcohol. However, the overstressed liver of an alcoholic may become clogged with fats that adversely affect liver function. This type of tissue is most common in alcoholic hepatitis (a prevalence of 65%) and alcoholic cirrhosis (a prevalence of 51%).
Source
Boundless vets and curates high-quality, openly licensed content from around the Internet. This particular resource used the following sources: