Functions of the Liver
The human liver is thought to be responsible for up to 500 separate functions, usually in combination with other systems and organs. The various functions of the liver are carried out by the liver cells or hepatocytes. Currently, there is no artificial organ or device capable of emulating all the functions of the liver.

The Liver
The liver, hepar, is a vital organ present in vertebratesand some other animals. It has a wide range of functions, includingdetoxification, protein synthesis, and production of biochemicals necessary fordigestion.
The liver is the mainstay of protein metabolism, synthesis as well as degradation. It performs several roles in carbohydrate and lipid metabolism. A bulk of the lipoproteins are synthesized in the liver. In the first trimester fetus, the liver is the main site of red blood cell production. By the 32nd week of gestation, the bone marrow has almost completely taken over that task. The liver also produces insulin-like growth factor 1 (IGF-1), a polypeptide protein hormone that plays an important role in childhood growth and continues to have anabolic effects in adults.
The liver stores a multitude of substances, including glucose (in the form of glycogen), vitamin A (1–2 years' supply), vitamin D (1–4 months' supply), vitamin B12 (1–3 years' supply), iron, and copper. The liver is responsible for immunological effects, acting as a 'sieve' for antigens carried to it via the portal system. The liver synthesizes angiotensinogen, a hormone that is responsible for raising the blood pressure when activated by renin, an enzyme that is released when the kidney senses low blood pressure.
The liver breaks down or modifies toxic substances, such as alcohol , and most medicinal products in a process called drug metabolism. This sometimes results in toxication, when the metabolite is more toxic than its precursor. Preferably, the toxins are conjugated to avail excretion in bile or urine. The liver breaks down insulin and other hormones.

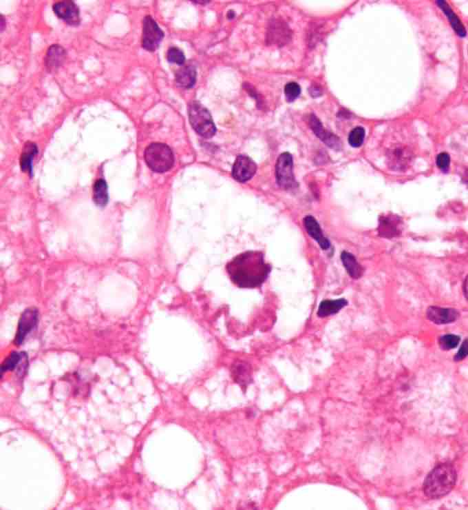
Liver tissue of an alcoholic
A healthy liver can break down alcohol. However, the overstressed liver of an alcoholic may become clogged with fats, adversely affecting liver function. This type of tissue is most common in alcoholic hepatitis (prevalence of 65%) and alcoholic cirrhosis (prevalence of 51%).