Chapter 15
Endocrine System
By Boundless

The endocrine system is a system of ductless glands that secrete hormones—chemical messengers that are carried for long distances.
The nervous system and endocrine system both use chemical messengers to signal cells, but each has a different transmission speed.

A hormone is a secreted chemical messenger that enables communication between cells and tissues throughout the body.

Hormones activate a cellular response in the target cell by binding to a specific receptor in the target cell.

There are three classes of hormones: peptide hormones, lipid hormones, and monoamine hormones.

Hormones synthesized by the endocrine glands are transported throughout the body by the bloodstream.

Nuclear receptors function as transcription factors because they can bind to DNA and regulate gene expression.
Hormones target a limited number of cells (based on the presence of a specific receptor) as they circulate in the bloodstream.

A hormone's half-life and duration of activity are limited and vary from hormone to hormone.

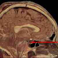
The pituitary gland is connected to the hypothalamus and secretes nine hormones that regulate body homeostasis.

The pituitary gland consists of the anterior pituitary and the posterior pituitary.

The anterior pituitary secretes seven hormones that regulate several physiological processes, including stress, growth, and reproduction.

The posterior pituitary secretes two important endocrine hormones—oxytocin and antidiuretic hormone.

The thyroid gland, in the anterior neck, controls body metabolism, protein synthesis, and a body's responsiveness to other hormones.

Thyroid hormones (T4 and T3) are produced by the follicular cells of the thyroid gland and regulated by thyroid-stimulating hormone (TSH).

The primary function of the thyroid is to produce the hormones triiodothyronine (T3), thyroxine (T4), and calcitonin.

The production of thyroxine and triiodothyronine is regulated by thyroid-stimulating hormone (TSH) that is released from the anterior pituitary.

In mammals, the adrenal glands (also known as the suprarenal glands) are endocrine glands that sit atop the kidneys.

The adrenal cortex is devoted to the synthesis of corticosteroid and androgen hormones.

The adrenal cortex is devoted to the synthesis of corticosteroid and androgen hormones.

Pancreatic islets, also called the islets of Langerhans, are regions of the pancreas that contain its hormone-producing endocrine cells.

The islets of Langerhans are the regions of the pancreas that contain many hormone-producing endocrine cells.

Glucagon is a peptide hormone that works in conjunction with insulin to maintain a stable blood glucose level.

The eicosanoids are signaling molecules that exert complex control over many bodily systems, mainly in inflammation or immunity.

A growth factor is a naturally occurring substance capable of stimulating cellular growth, proliferation, and cellular differentiation.
Many tissues within the body release hormones including the placenta, kidneys, digestive system, and adipose tissue.

The gonads in males are the testes and the gonads in females are the ovaries.

The placenta is an organ that connects the developing fetus to the mother's blood supply.

The body's stress response is mediated by the sympathetic nervous system and the hypothalmic-pituitary-adrenal (HPA) axis.
The fight-or-flight response is regulated by the release of adrenaline or noradrenaline.

Resistance is the second stage of the general adaptation syndrome, where the body has an increased capacity to respond to the stressor.

Exhaustion is the depletion and inability to maintain normal function and often results in physical illness.

Over-activation of the stress response can result in pathology and disease.