Physiology
Textbooks
Boundless Anatomy and Physiology
Endocrine System
The Pancreas
Physiology Textbooks Boundless Anatomy and Physiology Endocrine System The Pancreas
Physiology Textbooks Boundless Anatomy and Physiology Endocrine System
Physiology Textbooks Boundless Anatomy and Physiology
Physiology Textbooks
Physiology
Concept Version 12
Created by Boundless

Insulin Secretion and Regulation of Glucagon

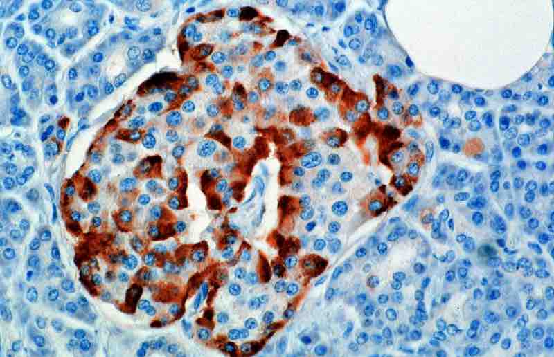
Glucagon staining

Glucagon staining

This is an image from a microscope stained for glucagon.

This is an image from a microscope stained for glucagon.

Source

    Boundless vets and curates high-quality, openly licensed content from around the Internet. This particular resource used the following sources:

    "Glucagon."
    http://en.wikipedia.org/wiki/Glucagon Wikipedia CC BY.

Related Terms

  • insulin
  • glycogen
  • glucagon
  • Subjects
    • Accounting
    • Algebra
    • Art History
    • Biology
    • Business
    • Calculus
    • Chemistry
    • Communications
    • Economics
    • Finance
    • Management
    • Marketing
    • Microbiology
    • Physics
    • Physiology
    • Political Science
    • Psychology
    • Sociology
    • Statistics
    • U.S. History
    • World History
    • Writing

    Except where noted, content and user contributions on this site are licensed under CC BY-SA 4.0 with attribution required.