Concept
Version 15
Created by Boundless
Characteristics of Nervous Tissue

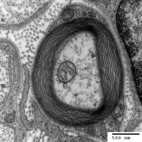
Illustration of the Schwann Cells and the Myelin Sheath
Transmission electron micrograph of a myelinated axon. The myelin layer (concentric) surrounds the axon of a neuron, showing Schwann cells.
Source
Boundless vets and curates high-quality, openly licensed content from around the Internet. This particular resource used the following sources:
"Myelinated neuron."
http://en.wikipedia.org/wiki/File:Myelinated_neuron.jpg
Wikipedia
CC BY-SA 3.0.