Nervous tissue is one of four major classes of tissues. It is specialized tissue found in the central nervous system and the peripheral nervous system. It consists of neurons and supporting cells called neuroglia.
The nervous system is responsible for the control of the body and the communication among its parts. Nervous tissue contains two categories of cells—neurons and neuroglia.
Neurons are highly specialized nerve cells that generate and conduct nerve impulses. A typical neuron consists of dendrites, the cell body, and an axon.
Dendrites are responsible for responding to stimuli; they receive incoming signals towards the cell body. The axons are responsible for transmitting impulses over long distances from cell body. The cell body is like a factory for the neuron. It produces all the proteins and contains specialized organelles such as nucleus, granules and Nissl bodies.

Neuron
This image illustrates the parts of a neuron. The dendrites receive incoming signals while axons propagate signals away from the neuron cell body. The myelin sheath surrounds and insulates the axon.
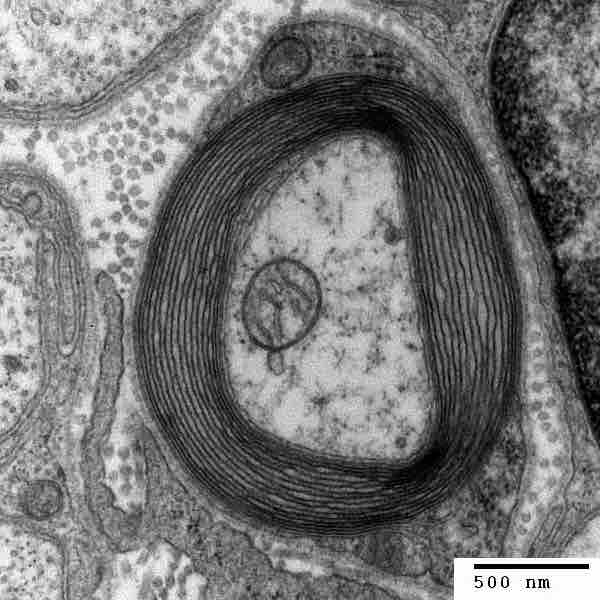
The axon is surrounded by a whitish, fatty layer called the myelin sheath. Outside the myelin sheath there is a cellular layer called the neurilemma.
In the peripheral nervous system, Schwann cells are neuroglia cells that support neuronal function by increasing the speed of impulse propagation. The Schwann cells are underlain by the medullary sheath. The medullary sheath is interrupted at intervals by the nodes of Ranvier.

Illustration of the Schwann Cells and the Myelin Sheath
Transmission electron micrograph of a myelinated axon. The myelin layer (concentric) surrounds the axon of a neuron, showing Schwann cells.