Concept
Version 12
Created by Boundless
Bone Repair

Healing fracture
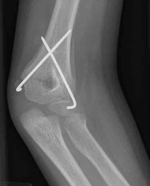
This figure depicts a radiograph of a child's healing supracondylar humeral fracture that has been treated with closed reduction and pinning. This image, taken three weeks post injury, demonstrates the benign periosteal reaction of normal healing bone.
This is a radiographic image (x-ray) of a child's healing supracondylar humeral fracture that has been treated with closed reduction and pinning. This image, taken three weeks post injury, demonstrates the benign periosteal reaction of normal healing bone.
Source
Boundless vets and curates high-quality, openly licensed content from around the Internet. This particular resource used the following sources:
"Healing supracondylar humeral fracture."
http://upload.wikimedia.org/wikipedia/commons/7/7a/Healing_supracondylar_fracture.jpg
Wikimedia
CC BY-SA 3.0.