Bone healing, or fracture healing, is a proliferative physiological process in which the body facilitates the repair of a bone fracture. Generally, bone fracture treatment consists of a doctor reducing (pushing) dislocated bones back into place via relocation with or without anesthetic, stabilizing their position, and then waiting for the bone's natural healing process to occur.
While immobilization and surgery may facilitate healing, a fracture ultimately heals through physiological processes. The healing process is mainly determined by the periosteum (the connective tissue membrane covering the bone).
The periosteum is one source of precursor cells that develop into the chondroblasts and osteoblasts that are essential to heal bone. The bone marrow (when present), endosteum, small blood vessels, and fibroblasts are other sources of precursor cells.
Days after a fracture, the cells of the periosteum replicate and transform. The periosteal cells proximal (closest) to the fracture gap develop into chondroblasts that form hyaline cartilage.
The periosteal cells distal to (further from) the fracture gap develop into osteoblasts that form woven bone. The fibroblasts within the granulation tissue develop into chondroblasts that also form hyaline cartilage.
These two new tissues grow in size until they unite with their counterparts from other parts of the fracture. These processes culminate in a new mass of heterogeneous tissue that is known as the fracture callus.
Eventually, the fracture gap is bridged by the hyaline cartilage and woven bone, restoring some of its original strength.

Bone repair
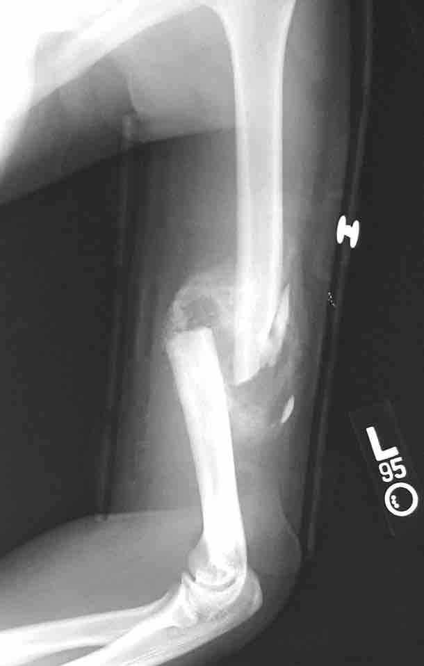
This figure depicts a communitive midshaft humeral fracture with callus formation.

Healing fracture
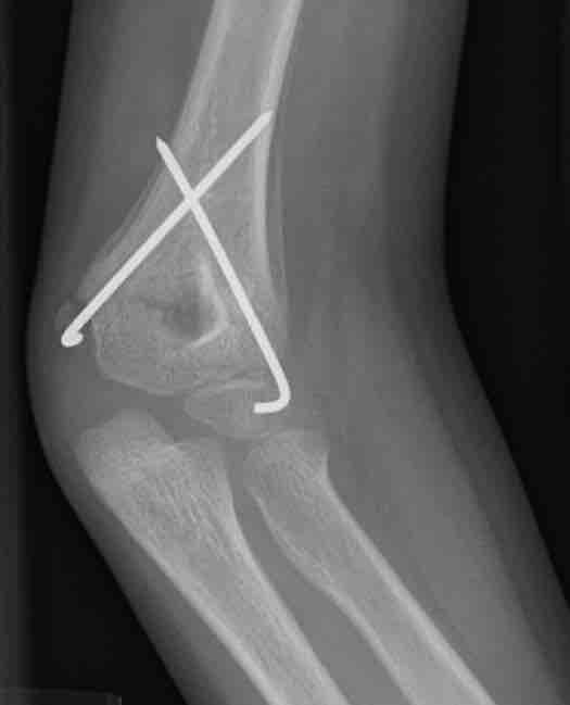
This figure depicts a radiograph of a child's healing supracondylar humeral fracture that has been treated with closed reduction and pinning. This image, taken three weeks post injury, demonstrates the benign periosteal reaction of normal healing bone.
The next phase is the replacement of the hyaline cartilage and woven bone with lamellar bone. The replacement process is known as endochondral ossification with respect to the hyaline cartilage and bony substitution with respect to the woven bone.
Substitution of the woven bone with lamellar bone precedes the substitution of the hyaline cartilage with lamellar bone. The lamellar bone begins forming soon after the collagen matrix of either tissue becomes mineralized. At this point, the mineralized matrix is penetrated by channels, each containing a microvessel and numerous osteoblasts.
The osteoblasts form new lamellar bone upon the recently exposed surface of the mineralized matrix. This new lamellar bone is in the form of trabecular bone. Eventually, all of the woven bone and cartilage of the original fracture callus is replaced by trabecular bone, restoring most of the bone's original strength.
The remodeling process continues with substitution of the trabecular bone with compact bone. The trabecular bone is first resorbed by osteoclasts, creating a shallow resorption pit known as Howship's lacuna, and then osteoblasts deposit compact bone within the resorption pit.
Eventually, the fracture callus is remodeled into a new shape that closely duplicates the bone's original shape and strength. The remodeling phase takes three to five years depending on factors such as age or general condition.
When the humerus in the upper arm is fractured and properly set, bone healing can repair the bone. However, if the bone is not set or improperly set, the chondroblasts and osteoblasts will still try to heal the bone but will be unable to return the bone to full proper functioning.