Concept
Version 11
Created by Boundless
Biopsychology

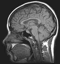
MRI of the human brain
Magnetic resonance imaging (MRI) scans of the head are often used to help psychologists understand the links between brain and behavior.
Source
Boundless vets and curates high-quality, openly licensed content from around the Internet. This particular resource used the following sources: