Biopsychology—also known as biological psychology or psychobiology—is the application of the principles of biology to the study of mental processes and behavior. The fields of behavioral neuroscience, cognitive neuroscience, and neuropsychology are all subfields of biological psychology.
Overview of Biopsychology
Biopsychologists are interested in measuring biological, physiological, and/or genetic variables and attempting to relate them to psychological or behavioral variables. Because all behavior is controlled by the central nervous system, biopsychologists seek to understand how the brain functions in order to understand behavior. Key areas of focus include sensation and perception, motivated behavior (such as hunger, thirst, and sex), control of movement, learning and memory, sleep and biological rhythms, and emotion. As technical sophistication leads to advancements in research methods, more advanced topics, such as language, reasoning, decision-making, and consciousness, are now being studied.
Brain-imaging techniques
Different brain-imaging techniques provide scientists with insight into different aspects of how the human brain functions. Three types of scans include (left to right) PET scan (positron emission tomography), CT scan (computed tomography), and fMRI (functional magnetic resonance imaging). (credit “left”: modification of work by Health and Human Services Department, National Institutes of Health; credit “center": modification of work by "Aceofhearts1968"/Wikimedia Commons; credit “right”: modification of work by Kim J, Matthews NL, Park S.)
Behavioral neuroscience has a strong history of contributing to the understanding of medical disorders, including those that fall into the realm of clinical psychology. Neuropsychologists are often employed as scientists to advance scientific or medical knowledge, and neuropsychology is particularly concerned with understanding brain injuries in an attempt to learn about normal psychological functioning. Neuroimaging tools, such as functional magnetic resonance imaging (fMRI) scans, are often used to observe which areas of the brain are active during particular tasks in order to help psychologists understand the link between brain and behavior.

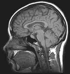
MRI of the human brain
Magnetic resonance imaging (MRI) scans of the head are often used to help psychologists understand the links between brain and behavior.
History
Biopsychology as a scientific discipline emerged from a variety of scientific and philosophical traditions in the 18th and 19th centuries. Philosophers like Rene Descartes proposed physical models to explain animal and human behavior. Descartes suggested, for example, that the pineal gland, a midline unpaired structure in the brain of many organisms, was the point of contact between mind and body. In The Principles of Psychology (1890), William James argued that the scientific study of psychology should be grounded in an understanding of biology. The emergence of both psychology and behavioral neuroscience as legitimate sciences can be traced to the emergence of physiology during the 18th and 19th centuries; however, it was not until 1914 that the term "psychobiology" was first used in its modern sense by Knight Dunlap in An Outline of Psychobiology.
Pineal gland
Descartes suggested that the pineal gland was the point of contact between mind and body.